Клинический случай положительного вазореактивного теста у пациентки с генетически подтвержденной веноокклюзионной болезнью легких
Аннотация
Веноокклюзионная болезнь легких (ВБЛ) — редкое заболевание, которое верифицируют патоморфологически или при обнаружении мутации в гене EIF2AK4. Клиническое подозрение основано на совокупности данных, включающих специфический паттерн изменений в легких на мультиспиральных компьютерных томограммах (МСКТ) легких, гипоксемию, низкую диффузионную способность легких (DLCO), извращенный ответ на специфическую терапию легочной артериальной гипертензии (ЛАГ). Быстрое течение ВБЛ с высокой летальностью определяет значимость своевременной диагностики и постановки в лист ожидания на трансплантацию легких.
В статье представлен клинический случай пациентки с ЛАГ, имеющей крайне низкую диффузионную способность легких по монооксиду углерода (DLCO), верифицированную мутацию в гене EIF2AK4, положительный вазореактивный тест (ВРТ) с клиническим ответом на терапию блокаторами кальциевых каналов (БКК) в дебюте заболевания. Утрата положительного ВРТ в сочетании с клиническим ухудшением течения ЛАГ стала показанием для последовательной комбинированной ЛАГ специфической терапии, эскалация которой привела к манифестации ВБЛ в виде тяжелой десатурации, рецидивирующих синкопальных эпизодов и отека легких. Сочетание низкой DLCO и извращенного ответа на ЛАГ специфическую терапию у пациентов с ИЛАГ должно насторажить практикующих врачей в отношении ВБЛ. Осторожное наращивание объема терапии при тщательном мониторировании состояния пациента, выполнении МСКТ органов грудной клетки в сочетании с генетическим подтверждением диагноза могут улучшить раннюю диагностику ВБЛ, а также способствовать своевременной постановке в лист ожидания на трансплантацию легких.
Ключевые слова
Об авторах
Е. М. АндрееваРоссия
Н. С. Гончарова
Россия
К. Б. Лапшин
Россия
А. А. Костарева
Россия
Д. В. Алексеева
Россия
А. В. Березина
Россия
И. С. Злобина
Россия
А. В. Рыжков
Россия
П. С. Сокольникова
Россия
В. В. Зайцев
Россия
О. М. Моисеева
Россия
Список литературы
1. Holcomb BW Jr, Loyd JE, Ely EW, et al. Pulmonary veno-occlusive disease: a case series and new observations. Chest. 2000 Dec;118(6):1671-9, https://doi.org/10.1378/chest.67.4.487
2. Montani D, Lau EM, Dorfmüller P, et al. Pulmonary veno-occlusive disease. Eur Respir J. 2016 May;47(5):1518-34, https://doi.org/10.1183/13993003.00026-2016
3. Montani D, Girerd B, Jaïs X, et al. Clinical phenotypes and outcomes of heritable and sporadic pulmonary veno-occlusive disease: a population-based study. Lancet Respir Med. 2017 Feb;5(2):125-134, https://doi.org/10.1016/S2213-2600(16)30438-6
4. Balko R, Edriss H, Nugent K, et al. Pulmonary veno-occlusive disease: An important consideration in patients with pulmonary hypertension. Respir Med. 2017 Nov;132:203-209, https://doi.org/10.1016/j.rmed.2017.10.015
5. Certain MC, Chaumais MC, Jaïs X, et al. Characteristics and Long-term Outcomes of Pulmonary Venoocclusive Disease Induced by Mitomycin C. Chest. 2021 Mar;159(3):1197-1207, https://doi.org/10.1016/j.chest.2020.09.238
6. Humbert M, Kovacs G, Hoeper MM, et al. 2022 ESC/ERS Guidelines for the diagnosis and treatment of pulmonary hypertension. Eur Heart J. 2022 Oct 11;43(38):3618-3731, https://doi.org/10.1093/eurheartj/ehac237
7. Wille KM, Sharma NS, Kulkarni T, et al. Characteristics of patients with pulmonary venoocclusive disease awaiting transplantation. Ann Am Thorac Soc. 2014 Nov;11(9):1411-8, https://doi.org/10.1513/AnnalsATS.201408-354OC
8. Ogawa A, Takahashi Y, Matsubara H. Clinical prediction score for identifying patients with pulmonary veno-occlusive disease/pulmonary capillary hemangiomatosis. J Cardiol. 2018 Sep;72(3):255-260, https://doi.org/10.1016/j.jjcc.2018.02.009
9. Benza RL, Gomberg-Maitland M, Miller DP, et al. The REVEAL Registry risk score calculator in patients newly diagnosed with pulmonary arterial hypertension. Chest. 2012;141(2):354-62, https://doi.org/10.1378/chest.11-0676
10. Benza RL, Gomberg-Maitland M, Elliott CG, et al. Predicting survival in patients with pulmonary arterial hypertension: the reveal risk score calculator 2. 0 and comparison with esc/ers-based risk assessment strategies. Chest. 2019;156(2):323-337, https://doi.org/10.1016/j.chest.2019.02.004
11. Koyama M, Yano T, Kikuchi K, et al. Favorable response to an endothelin receptor antagonist in mitomycin-induced pulmonary veno-occlusive disease with pulmonary capillary hemangiomatosis. Int J Cardiol. 2016 Jun 1;212:245-7, https://doi.org/10.1016/j.ijcard.2016.03.118
12. Hoeper MM, Eschenbruch C, Zink-Wohlfart C, et al. Effects of inhaled nitric oxide and aerosolized iloprost in pulmonary veno-occlusive disease. Respir Med. 1999 Jan;93(1):62-4, https://doi.org/10.1016/s0954-6111(99)90079-3
13. Barreto AC, Franchi SM, Castro CR, et al. One-year follow-up of the effects of sildenafil on pulmonary arterial hypertension and veno-occlusive disease. Braz J Med Biol Res. 2005 Feb;38(2):185-95, https://doi.org/10.1590/s0100-879x2005000200006
Дополнительные файлы
|
|
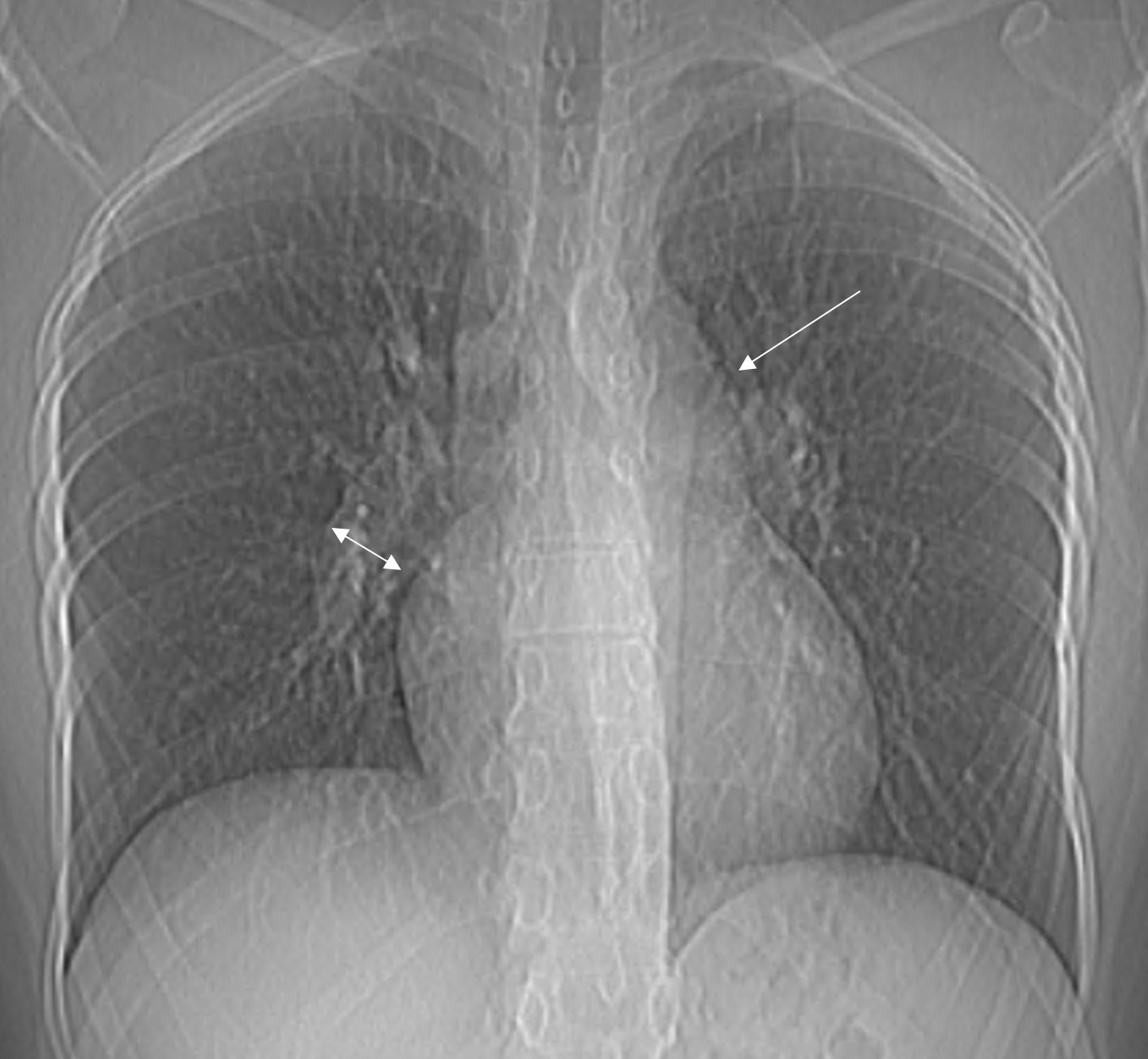
1. Рис.1 Рентгенограмма лёгких, прямая проекция. | |
| Тема | ||
| Тип | Исследовательские инструменты | |
Посмотреть
(184KB)
|
Метаданные ▾ | |
|
|
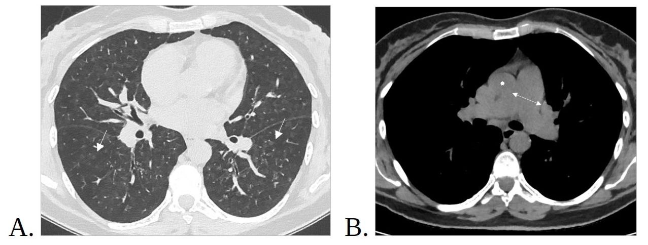
2. Рис.2 МСКТ органов грудной клетки, аксиальная проекция. | |
| Тема | ||
| Тип | Исследовательские инструменты | |
Посмотреть
(86KB)
|
Метаданные ▾ | |
|
|
3. Рис.3 Динамика основных показателей кардиореспираторного тестирования. | |
| Тема | ||
| Тип | Исследовательские инструменты | |
Посмотреть
(214KB)
|
Метаданные ▾ | |
|
|
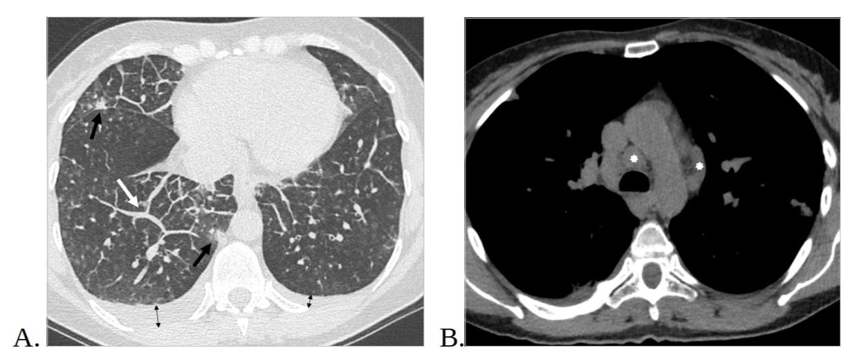
4. Рис.4. МСКТ органов грудной клетки, аксиальные срезы. | |
| Тема | ||
| Тип | Исследовательские инструменты | |
Посмотреть
(87KB)
|
Метаданные ▾ | |
|
|
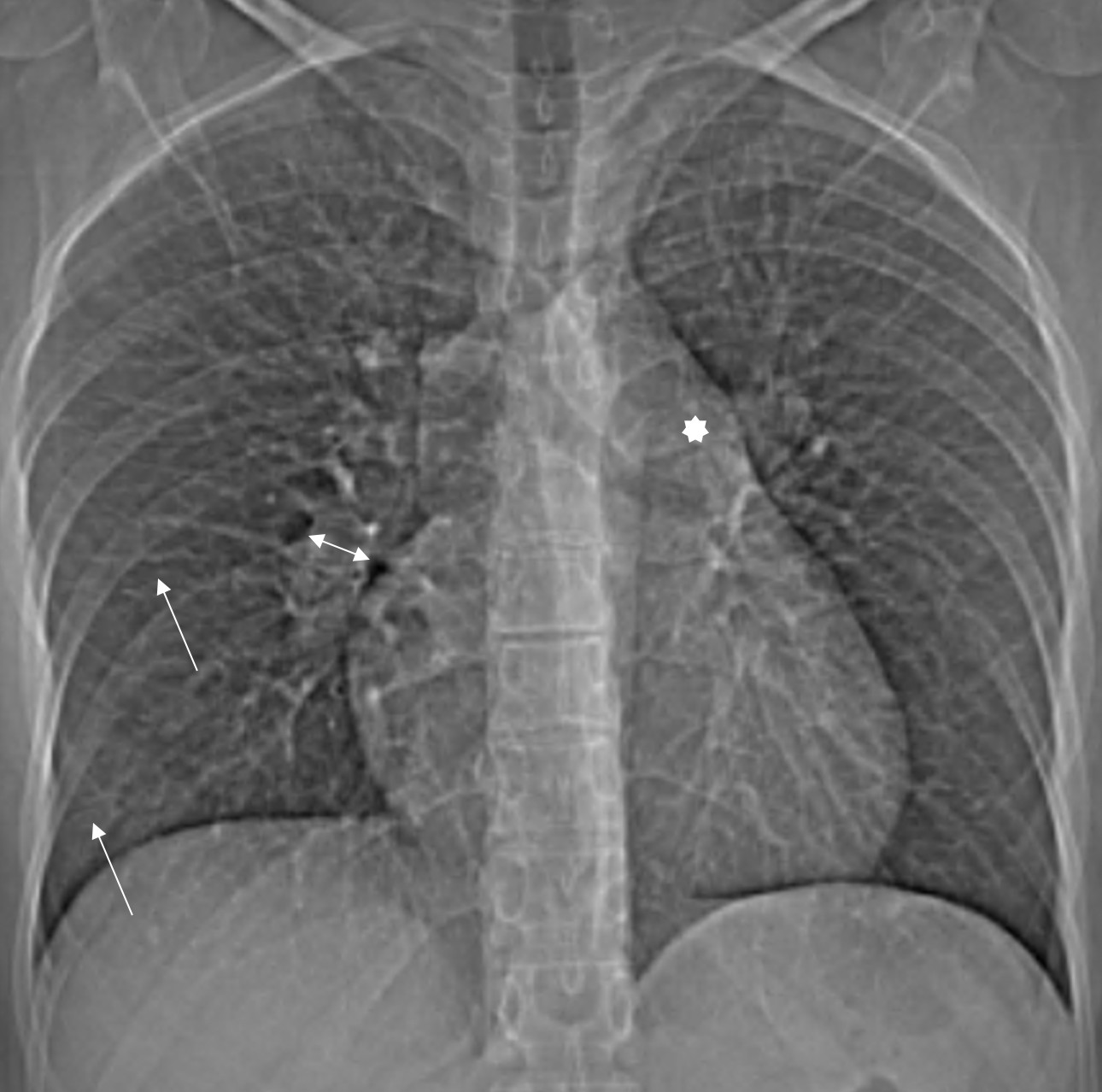
5. Рис.5 Рентгенограмма лёгких, прямая проекция. | |
| Тема | ||
| Тип | Исследовательские инструменты | |
Посмотреть
(169KB)
|
Метаданные ▾ | |
|
|
6. Рис.6 МСКТ органов грудной клетки, аксиальные срезы. | |
| Тема | ||
| Тип | Исследовательские инструменты | |
Посмотреть
(76KB)
|
Метаданные ▾ | |
|
|
7. Таблица 2. Стратификация риска в динамике. | |
| Тема | ||
| Тип | Исследовательские инструменты | |
Посмотреть
(169KB)
|
Метаданные ▾ | |
Рецензия
Для цитирования:
Андреева Е.М., Гончарова Н.С., Лапшин К.Б., Костарева А.А., Алексеева Д.В., Березина А.В., Злобина И.С., Рыжков А.В., Сокольникова П.С., Зайцев В.В., Моисеева О.М. Клинический случай положительного вазореактивного теста у пациентки с генетически подтвержденной веноокклюзионной болезнью легких. Системные гипертензии. 2023;20(2).



























